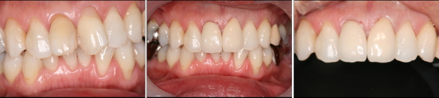
2011年6月28日 / 最終更新日時 : 2019年5月18日 藤井歯科医院 キャンペーン 上の前歯のねじれをオールセラミックで治す ねじれていた上の前歯2本をオールセラミックでかぶせました。 もともと歯のきれいな方でしたので、口全体が明るくなりました。 ただいま、モニターキャンペーン中です。