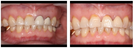
前歯の隙間が気になりオールセラミックに変えたケース

上の前歯2本をオールセラミックでやりかえました。
前はメタルボンド(金属にセラミックを焼き付けたかぶせ)でしたが色や形が不自然で隙間も出来てきました。
きれいで長持ちするかぶせを希望されました。
オールセラミックは清潔で他の歯と調和しとても美しく満足されました。
モニターキャンペーン価格 2本分 210,000円

上の前歯2本をオールセラミックでやりかえました。
前はメタルボンド(金属にセラミックを焼き付けたかぶせ)でしたが色や形が不自然で隙間も出来てきました。
きれいで長持ちするかぶせを希望されました。
オールセラミックは清潔で他の歯と調和しとても美しく満足されました。
モニターキャンペーン価格 2本分 210,000円