歯が抜けた時は、乾燥させないで。(平成23年3月3日)

IMG_2346.jpg

IMG_2347.jpg  IMG_2348.jpg

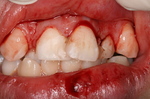
歯を打って歯が抜けたと電話がありました。

歯を抜けた所に戻し、横の歯とくっつけて

固定します。うまくいけば、歯が元通りくっつきます。

歯が根っこごと抜けた場合は、歯が助かるには。

乾燥させない、できるだけ早く歯医者へ行く、

根っこを触らない。 

 抜けて時間がたち、乾燥して汚れていれば、

くっつく可能性は少なくなります。できるだけ早く

 牛乳の中にいれてもってきてください。

 ティッシュに包むのはNGです。

 今回は、乾燥していたので難しいところです。