栃原先生基本資料徹底マスターセミナー(2014.8.25)
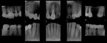
8月24日日曜日9:30-16:30まで熊本市開業の栃原秀紀先生をお迎えして、江坂の松風で基本資料徹底マスターセミナーを行いました。歯科医師、衛生士あわせて35名の参加者がありました。基本資料とは、歯や歯ぐきの状態をレントゲン10枚と口腔内写真(口の中の写真)5枚で記録した資料です。人間の肉眼では、口は1方向の表面しか見ることが出来ません。しかし、基本資料をとる事で 気づかない歯周病や虫歯も発見することができ、最適な治療方法を考えることができます。また定期的に基本資料を撮ることにより、病気の経過観察や回復傾向についても知ることができます。これは、歯をずっと残すために大変重要な手がかりになり、基本資料に変化がなければ歯に自信がもて大きな安心感が得られます。
栃原先生は20年以上、基本資料をとり続け、患者さんの歯の健康に貢献してこられています。セミナーでは基本資料のとり方の実習と参加者の資料の評価をしてもらいました。しっかりした基本資料のある医院は、患者さんの情報の宝庫です。それが歯を長持ちさせる役にたちます。当院でも栃原先生に教えていただいたよう、定期的に基本資料をとって、患者さんのために役立てたいと思っています。



