学校検診では、わからない虫歯がある(2014.12.3)
学校検診で見た目虫歯がないと診断されても歯と歯の間から虫歯が出来ている場合があります。
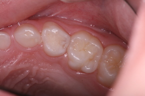
下のレントゲンは、検診で指摘されなかった虫歯ですが、レントゲンをとると右の上から2番目と3番目の間に虫歯ができています。甘い物は好きでよく食べるそうです。3つ改善することがあります。甘い物のとる回数を減らす、糸ようじ(デンタルフロス)を毎日する、定期的にレントゲンをとることです。
子供の歯は、神経が歯の表面近くにあり、神経にまでバイ菌が進みやすい特徴があります。
手遅れにならぬよう、痛みがなくても、一度レントゲン検査を受けましょう。



