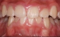
2011年4月15日 / 最終更新日時 : 2019年5月18日 藤井歯科医院 矯正治療の症例 矯正治療症例2 症例2 糸切歯が、生える隙間がなく、牙のように生えています。 上だけを矯正しました。 上の歯がきれいに並びました。 治療期間8ヶ月。取り外しの装置で後戻りを防ぎます。