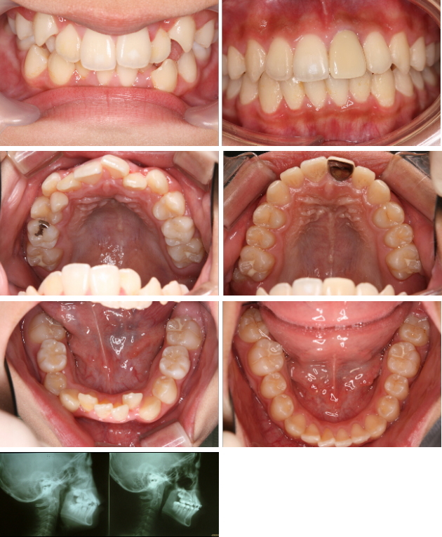
2011年10月19日 / 最終更新日時 : 2019年5月18日 藤井歯科医院 矯正治療の症例 中学生の歯を抜かない全顎矯正症例(期間1年半) 13歳の男の子です。全体に歯がガタガタしています。 歯にボタン(ブラケット)を接着して、針金を使って矯正しました。 期間は1年半です。 左が矯正前、右が矯正終了時です。