歯周病の治療例(2012.1.12)
60才女性、歯肉の腫れと歯がゆれているのが気になり来院されました。
上の前歯の裏と下の前歯が特に腫れていました。
歯ブラシ指導、歯石除去、歯周病の外科手術を行いました。
歯周病の治療は半年ぐらいかかりますが、病状が安定すれば定期的な掃除とチェックOKです。

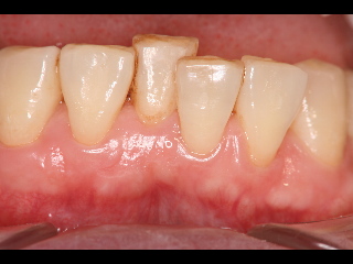
初診時、下の前歯の向かって左から2番目と3番目の間腫れています。

歯周病治療終了です、腫れはなくなりました。

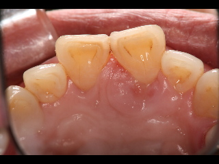
上の前歯の裏側です。右から3番目の歯ぐきが腫れています。
歯もぐらぐらしています。

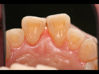
腫れがなくなり、歯のぐらぐらもなくなりました。


