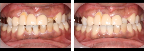
歯をきれいにするエアーフロー

たばこのヤニは、歯を汚してしまいます。
歯を汚すたばこをやめるために、歯のクリーニングを受けられては、どうですか。クリーニング後は禁煙にはずみがつくと思います。
8月中なら3000円が2500円で受けられます。
所用時間は20分ほどで痛みもなく、気持ちよくきれいになります。

たばこのヤニは、歯を汚してしまいます。
歯を汚すたばこをやめるために、歯のクリーニングを受けられては、どうですか。クリーニング後は禁煙にはずみがつくと思います。
8月中なら3000円が2500円で受けられます。
所用時間は20分ほどで痛みもなく、気持ちよくきれいになります。