たばこは歯と歯ぐきを汚くします(2012.9.20)
医療機関のニコチン依存禁煙外来は5回ほど通院して保険適用
で 12000円から20000円ほどかかるそうです。
たばこの害に関しては、明確な科学的根拠はありません。
いっぱい たばこを吸う人で元気で長生きしている人もいます。
歯科の立場では、経験上 歯周病が治りにくいと感じます。
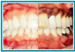
もっと、気になるのは歯が汚くなること。
歯ぐきや唇までも、黒ずんできます。
歯をきれいにして それをきっかけに歯を 汚くするたばこ
をやめたいという患者さんが最近、よくこられます。
きれいに洗った白い服を汚したくないという心理です。
歯の掃除は、エアーフローという痛みを感じない掃除で
3000円ほどでできます。(保険適用外です。) 人に見せら
れるように歯をきれいに保つことが大事です。歯を人に見せ
ていると きれいな笑顔になります。
たばこがやめられ、口元がきれいになり、いつも笑顔でいら
れます。

