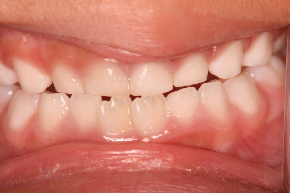
下の前歯が重なって生えてきた(2015.6.9)
6才頃に下の前歯が大人の歯に生えかわります。最近、あごの成長が悪く下の前歯が、重なっている子供さんが多く見られます。この場合は、矯正が必要になる場合が多いです。あごは、成長しますが その程度は、遺伝や環境に左右されます。両親の歯並びが悪い場合、あまり噛むことをしない場合など自然に改善することは、難しいです。この時期の矯正には、取り外し式の矯正装置を入れてあごを広く拡大する方法があります。あごが成長しやすい環境を作る事が、大事です。無料の矯正相談を随時、行っていますのでご相談下さい。


