前歯1本がねじれて出ているのをきれいにしたい。

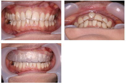
40才の女性で子供に矯正をすすめたら、お母さんも歯並び悪いのに治してないから、いいと言われたそうです。
それで歯並びを治そうと、決意されました。
まず、とりはずしタイプの矯正をしました。歯の神経はとっています。

歯が、中にはいったら、セラミックのかぶせをいれました。
見た目はほとんどわからず、唇も閉じやすくなりました。

治療期間3ヶ月、矯正とかぶせで20万円です。

40才の女性で子供に矯正をすすめたら、お母さんも歯並び悪いのに治してないから、いいと言われたそうです。
それで歯並びを治そうと、決意されました。
まず、とりはずしタイプの矯正をしました。歯の神経はとっています。

歯が、中にはいったら、セラミックのかぶせをいれました。
見た目はほとんどわからず、唇も閉じやすくなりました。

治療期間3ヶ月、矯正とかぶせで20万円です。