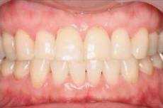
2010年10月15日 / 最終更新日時 : 2019年5月18日 藤井歯科医院 矯正治療の症例 矯正治療症例3 症例3 歯を抜いての矯正症例 25才女性 出っ歯で唇が閉じにくく、気にされていました。 治療期間2年半。