子供のむし歯予防にホームジェル
1965年WHOでフッ素が虫歯予防の第一選択になりました。
歯ブラシによる虫歯予防は、期待出来ません。
世界の流れはフッ素推進で、推進国は虫歯が非常に減りました。日本でも虫歯が減少していますが、先進国レベル以下です。
フッ素は、虫歯に対する歯の防衛力を強化します。私も自分の子供に毎日、フッ素のジェルを塗っていました。使用したのはオーラルケアーのホームジェルです。
寝る前に塗り、うがいはしません。所用時間は5-10秒です。現在2人とも虫歯なしです。(18才男と15才女です。)( 祖母祖父、私も妻も虫歯は結構ありました。)
フッ素入りのジェルを歯が生えたら塗って下さい。最初いやがるかもしれませんが慣れてきます。
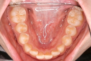
下の写真は私の子供の歯です。虫歯なしです。




