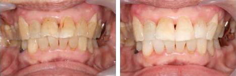
2010年9月27日 / 最終更新日時 : 2019年5月18日 藤井歯科医院 ホワイトニング症例 ホワイトニング症例 1 トレーにホワイトニングジェルを入れ、寝るだけで歯が白くきれいになります。(3-5週間) 症例1