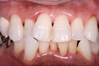
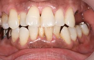
2013年7月21日 / 最終更新日時 : 2019年5月18日 藤井歯科医院 ホワイトニング症例 歯が入り組んでいる歯でも白くなるホワイトニング ホワイトニングで下の前歯が特に白くなりました。 歯が白くなり、笑顔がより美しくなりました。 (63才女性)