白い歯がよみがえる(2012.7.10)


以前は奥歯が虫歯になったら、銀色の詰め物がされていました。
今でも保険適応では、奥は銀歯になります。強度で問題のあった
奥歯の白い詰め物が進化し、白くて強く美しい詰め物ができるよ
うになりました。商品名はドイツのイーマックスE-MAXです。
天然歯の2倍の圧力に耐えることができ、自分の歯に自然とあう
ように見えるカメレオン効果があり、治療されていることがわから
ない美しさです。 美しさ、丈夫さ、清潔さを備え、体にも優しい
詰め物です。保険適応外ですが、十分値打ちがあるものだと
思います。消費税込みで1本52、500円 治療回数は2回です。
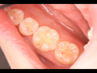
写真は右から2番目の奥歯の詰め物の入れる前と、入れた後で
すカメレオン効果で詰め物が歯と一体化しています。

