年をとれば 歯も もろくなります(2014.6.6)

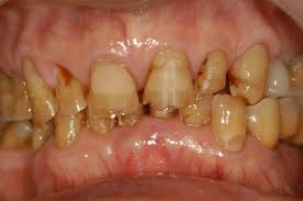
齢はよわいと読み、年を重ねるという意味です。へんに歯がついているということは歯と年は、大きな関係があるということです。歯は、年を経るごとに変化してきます。歯の中にある神経の部分がだんだん狭くなってきて歯の柔軟性がなくなり、歯が欠けたり折れたりしやすくなります。歯ぎしりやくいしばりの癖や、硬い物を食べることで歯が壊れることがあります。また、きつく歯ブラシすることで歯がすり減りやすくもなります。歯自体は鍛えることは、出来ませんので強い力がかからないよう気をつけましょう。

                  歯の老化.jpg