子供の歯を治す 矯正治療の適切なタイミング(2015.10.2)
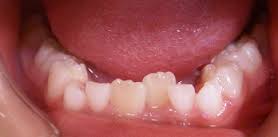
子供の前歯が凸凹していたり、ねじれていると歯列矯正をしたほうがいいのか心配になるご両親も多いのではないでしょうか。歯並びはいいタイミングで治してあげれば、子供の負担を減らすことができます。生えかわりの初期から始める矯正治療のメリットは顎を広げられるために、抜歯を避けられることと矯正費用も少なくてすむ可能性があります。6才頃、下の前歯が生えかわり大人の歯が出てきます。この時点で歯がいがんで生えていれば歯並びが、悪くなる可能性は大きいと考えられます。アゴの大きさと歯の大きさのアンバランス、指しゃぶりや唇を噛む癖なども歯並びが悪くなる原因です。これからも成長が望めるので取り外しの装置で顎を拡げ、ボタンと針金でいがみを治すことができます。いがんだまま他の大人の歯が生えてくると歯並びを治すのに時間がかかります。歯並びは顔の印象に大きく影響します。早いタイミングに矯正相談をしましょう。


