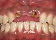
上の前歯が壊れてきたら要注意(2015.12.22)
虫歯菌(ミュータンス菌)による虫歯と歯周病菌(ジンジバーリス菌)による歯周病で歯は悪くなっていきます。この細菌が、口の中に存在している限り、歯は悪くなっていきます。虫歯菌は、歯そのものをドリルのように壊していき、歯周病菌は歯を支えている骨を壊していきます。そして歯ぎしりや食いしばりの癖がある人は、その力で歯が壊れていきます。この3つの要素が、関係し歯が無くなっていきます。奥歯がまず、最初になくなり、それを放置していると前歯に被害が出てきます。噛める所がどんどん無くなって、入れ歯を入れると入れ歯を支える歯はまた、なくなります。欧米では、原因除去治療を行ってからでないと歯の治療をしても、意味がないとされています。原因は細菌の固まりの歯垢です。これをとるには、自分で毎日行うセルフケア、定期的に歯科診療所で行うプロケアが必要です。その上で食いしばりなどの力のコントロールが必要です。


